Smile Gallery – Concord, NH
Real Patients.
Real Smiles.

Our doctors stand behind their work at the practice as you can see in our smile gallery. Our goal is and always has been to help patients feel confident about their smile, no matter how many dental issues they may have. If you're feeling hesitant about pursuing a specific treatment (particularly one that is cosmetic in nature), you'll have far more confidence in your future care after reviewing our smile gallery below.
Dental Bridge
Dental bridges replace missing teeth. They can restore chewing function, enhance your appearance and improve your oral health. A dental bridge consists of crowns (that fit over your natural teeth on either side of the space) and artificial teeth (that “bridge the gap” in your smile).
Before
After
Invisalign® Aligners
Invisalign treatment easily, and comfortably, shifts your teeth using custom-fit aligners to gradually move your teeth into proper alignment, leaving any crooked teeth or crowding issues you have in the past. Get the beautiful smile you’ve always wanted - talk to your dentist about Invisalign treatment.
Before
After
Before
After
Before
After
Before
After
Before
After
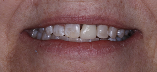
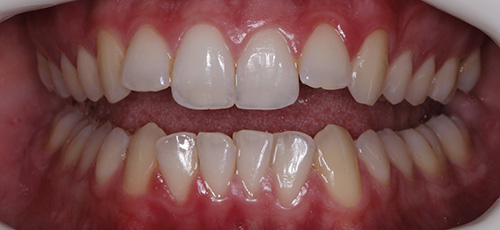
Smile Makeover
Smile makeover refers to the aesthetic improvement of your smile. These treatments are performed for cosmetic purposes only. For example, if you have misaligned teeth or a gap between your teeth, a smile makeover can help you overcome these problems and be happy with your smile.
Before
After
Before
After
Before
After
Before
After
Before
After
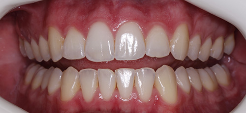
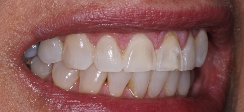
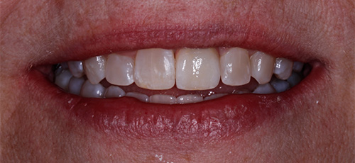
Porcelain Veneers
Dental veneers (sometimes called porcelain veneers or dental porcelain laminates) are wafer-thin, custom-made shells of tooth-colored materials designed to cover the front surface of teeth to change your appearance. These shells are bonded to the front of the teeth, changing their color, shape, size, or length.
Before
After
Before
After
Before
After
Before
After
Dental Implant
A dental implant is a small post, usually made of titanium, that serves as a substitute for the root of the tooth. A connector, known as an abutment, is placed on, or built into, the top of the dental implant, which connects it to the replacement tooth. Finally, a crown, a replacement tooth, is custom fabricated to match your natural teeth, completing the dental implant.
Before
After
Before
After
Teeth Whitening
Teeth whitening is a cosmetic procedure that is used to make the surface of the teeth appear whiter. Although teeth whitening cannot turn the teeth brilliant white, it can be a very effective way of lightening the existing color, without causing any damage to the tooth’s surface.
Before
After
Before
After
Before
After